prevendosco

Tratamiento de la enfermedad por reflujo en Celaya

¿Qué es la enfermedad por reflujo gastroesofágico?

La enfermedad por reflujo gastroesofágico (ERGE) ocurre cuando el contenido del estómago regresa hacia el esófago, provocando ardor, acidez y dolor torácico.
Aunque muchas personas presentan síntomas leves ocasionalmente, cuando el reflujo es persistente puede causar inflamación del esófago (esofagitis) y otras complicaciones que requieren valoración médica especializada.

Síntomas más comunes del ERGE

  • Ardor o sensación de quemadura en el pecho (pirosis)

  • Regurgitación de alimentos o líquidos

  • Tos crónica o ronquera

  • Dolor o molestia después de comer

  • Dificultad para tragar (disfagia)

Estos síntomas suelen empeorar al recostarse o después de comidas abundantes.

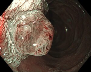
Diagnóstico mediante endoscopía

El estudio más útil para confirmar el diagnóstico y evaluar la severidad de la enfermedad es la endoscopía digestiva alta, que permite visualizar el esófago, detectar erosiones, úlceras o estrechamientos, y descartar otras enfermedades como la hernia hiatal.

Durante la endoscopía, se obtienen imágenes de alta resolución que ayudan a determinar el tratamiento más adecuado y monitorear la respuesta a la terapia.

Tratamiento de la enfermedad por reflujo

El manejo se adapta a cada paciente y puede incluir:

  • Medicamentos inhibidores de ácido (IBP o bloqueadores H2).

  • Cambios en la dieta y el estilo de vida, como evitar comidas grasosas, café, alcohol y cenas tardías.

  • Reducción de peso corporal en pacientes con sobrepeso.

  • Tratamiento endoscópico o quirúrgico, en casos severos o resistentes al tratamiento médico.

El manejo endoscópico permite evaluar la función del esfínter esofágico y tratar lesiones asociadas, mientras que la cirugía antirreflujo laparoscópica corrige la causa anatómica de manera definitiva en casos seleccionados.

Pronóstico y seguimiento

Con tratamiento adecuado, la mayoría de los pacientes logra controlar los síntomas del reflujo y prevenir complicaciones como esofagitis erosiva o esófago de Barrett.
El seguimiento endoscópico periódico garantiza una evolución favorable y segura.

¡¡¡¡Revísate!!!

Si has sido diagnosticado con enfermedad por reflujo  o presentas síntomas compatibles, no postergues tu atención médica. Agenda una valoración con nuestro especialista en reflujo y recibe un plan de tratamiento personalizado, seguro y basado en evidencia.

📞 Agenda tu cita hoy mismo y recibe atención profesional y humana en Celaya.

avatar de autor
prevendosco.com
Mi formación y experiencia la obtuve en la bonita Ciudad de México, laborando y rotando por distintos hospitales de secretaria de salud de la ciudad de México; donde obtuve los conocimientos necesarios para una atención integral y de calidad con mis pacientes. La medicina es una ciencia en constante cambio, por tal motivo, me gusta mantenerme actualizado ya que siempre aparecen nuevas guías diagnosticas y terapéuticas. Estoy para servirle y atenderle de manera respetuosa y responsable, no tengo dudas que el mejor pronóstico se obtiene de una atención oportuna por lo que dudes en preguntar.

Comparte la información en tus redes sociales

Deja un comentario

Tu dirección de correo electrónico no será publicada. Los campos obligatorios están marcados con *

Verificado por MonsterInsights